Acerca de Viviana DalponteInstalacionesCasos clínicosRecomendacionesContacto
 
 

 



Viviana Dalponte

   
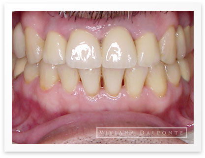
CASO 7: Reconstrucción de los cuatro incisivos superiores con pernos y coronas de porcelana

 
 
   
Diseño: A&F Informática