Acerca de Viviana DalponteInstalacionesCasos clínicosRecomendacionesContacto
 
 

 



Viviana Dalponte

   
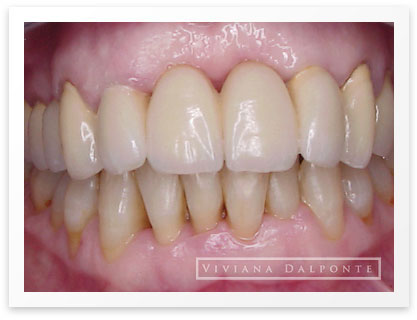
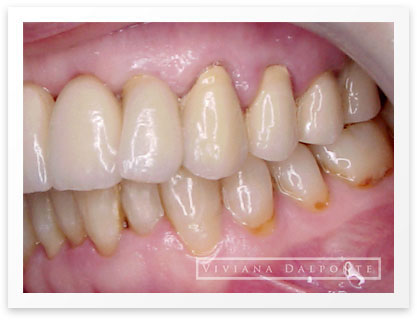
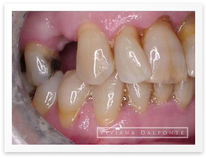
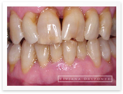
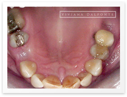
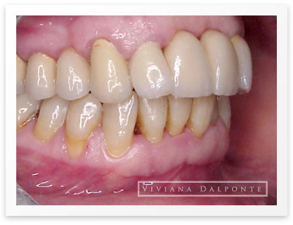
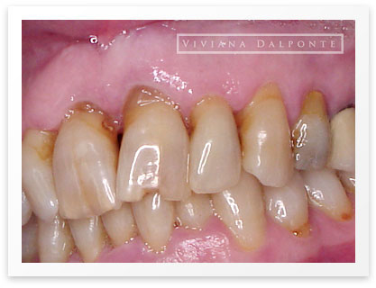
CASO 6: Restauración con prótesis fija en ambos maxilares

 
 
   
Diseño: A&F Informática