Acerca de Viviana DalponteInstalacionesCasos clínicosRecomendacionesContacto
 
 

 



Viviana Dalponte

   
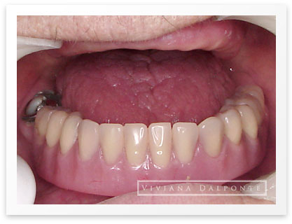
CASO 2: Resolución de caso clínico de un paciente desdentado total con prótesis implantoretenida en maxilar inferior

 
 
   
Diseño: A&F Informática